Loading...
About Our Clinic

About Our Clinic

Welcome to Realign Dental Clinic, where we combine advanced technology with compassionate care to deliver exceptional dental services. Our state-of-the-art facility is designed to provide you with the most comfortable and efficient dental experience possible.

Expert Team

Experienced professionals

Zero Pain Policy

Painfree dental treatment

Patient Care

Personalized attention

Safety First

Strict protocols

Learn More About Us

Our Treatments

We offer comprehensive dental care for patients of all ages, focusing on preventive care, cosmetic improvements, and restorative treatments.

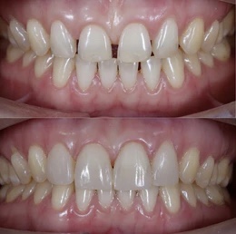
Before & After

See the amazing transformations we've achieved for our patients through our expert dental care.

Before
After

Complete Smile Makeover

Patient was not confident about his smile

  • Rotations in multiple teeth along with gaps between all teeth.
  • Invisible aligners therapy.
  • Total treatment time: 11 months.
  • Patient satisfaction: Extremely happy and confident.

Meet Our Team

Our team of experienced dental professionals is committed to providing you with the highest quality care in a comfortable environment.

Dr. Anjali Uttwani Arora

Dr. Anjali Uttwani Arora

Orthodontist, Smile Stylist & Co-founder, Realign Dental Clinic

Gold Medalist Orthodontist at Realign Dental Clinic, Jaipur, specializing in invisible aligners, digital smile designing, and painless dentistry to craft your perfect, confident smile!

Dr. Ayush Arora

Dr. Ayush Arora

Co-founder | Dental Surgeon | Perfectionist in Precision Dentistry

Co-founder of Realign Dental Clinic, specializing in restorative, cosmetic, and pain-free dentistry with advanced tech for stunning smile makeovers.

Dr. Mitali Arora

Dr. Mitali Arora

Creative Head & Dental Surgeon | Smile Enthusiast

Creative Head at Realign Dental Clinic, blending art and science for stunning smile makeovers with expertise in clear aligners, painless restorations, and preventive care.

Patient Testimonials

See what our patients have to say about their experience at Realign Dental Clinic

I strongly recommend Dr. Anjali's dental place. I find her clinic to be clean & efficient. You"Can expect to get really good and responsive care. At every she makes you feel listened to and comfortable about procedures, calming nerve at every turn. Highly recommend 🤗 At last you wil end up smiling broad😄

Read more
Kushmita Mittal

Kushmita Mittal

8 months ago

I recently had a smile makeover, and the results are truly life-changing! Dr Arora took the time to explain every step of the process, from teeth whitening to veneers, ensuring I felt comfortable and informed throughout. The transformation is incredible—my teeth are now perfectly aligned, bright, and natural-looking. The entire team was professional, friendly, and focused on giving me the best possible care. If you’re looking for the best dentist for a smile makeover, I highly recommend this clinic. It’s amazing how much a beautiful smile can boost your confidence. Thank you for giving me the smile of my dreams!

Read more
Prateek Jain

Prateek Jain

8 months ago

I recently visited Realign Dental Clinic for a tooth cavity, and I’m so glad I did! Dr. Anjali was extremely professional and made the entire process smooth and painless. She thoroughly explained the procedure, and her attention to detail was outstanding. The filling was done perfectly, and I felt comfortable throughout. The clinic is clean, modern, and well-equipped, and the staff is friendly and supportive. I highly recommend Realign Dental Clinic to anyone in need of dental care.

Read more
Pramod Jain

Pramod Jain

8 months ago

I was in severe pain over the weekend and was so relieved to find Realign Dental Clinic open. The doctor was incredibly kind, attentive, and treated me with utmost care. I felt instant relief, and the professionalism was outstanding. Truly grateful for their weekend availability and top-notch service!

Read more
Manu Seb

Manu Seb

8 months ago

I was in massive pain and couldn’t eat from one side due to an impacted tooth and another tooth with deep decay caused by it. Dr. Anjali at Realign Dental Clinic, the best dentist in Jaipur, performed a painless root canal (RCT) on the decayed tooth and extracted the impacted one. Within 7 days, I was completely relieved of pain. I can now chew comfortably from both sides, and she even saved the useful tooth. Thank you, Realign Dental Clinic, for the amazing care! Highly recommend for anyone looking for effective and painless procedures.

Read more
Prateek Jain

Prateek Jain

8 months ago

Frequently Asked Questions

Find answers to common questions about our dental services, appointments, and patient care.

Contact Us

We are here to help you with all your dental needs. Feel free to reach out to us for any inquiries or to schedule an appointment.

Location

Dr. Arora’s ReAlign Dental Clinic

Ground Floor, 94/40, Vijay Path, Mansarovar
Jaipur, Rajasthan

Working Hours

Monday - Sunday: 10:00 AM to 2:00 PM, 4:00 PM to 8:00 PM

Tuesday: 4:00 PM to 8:00 PM

Contact

Phone: +91 7891012206
Email: realigndent@gmail.com

Need Immediate Assistance?

Our dental experts are ready to help you

Phone Call